“玻璃人”遇上关节炎怎么解
2025-11-04
25
大家也许听过“玻璃人”,一般情况下,这个称呼指的就是血友病患者。“血友病”是一种罕见疾病,受一点小伤就可以流血不止,一个看似轻微的动作或细小的伤口,都有可能将血友病人置于致残或致死的风险。
血友病除了出血会危及生命健康之外,还会导致关节出血破坏关节软骨,进而影响关节的功能,特别是下肢负重关节,严重的患者几乎没有关节功能,给生活带来严重的不便与痛苦,因此被称为“血友病性关节炎”,今天我们就来聊聊当“玻璃人”遇上关节炎该怎么办?
![]()
01 什么是血友病性关节炎
血友病是一种具有遗传性质的、凝血功能障碍的出血性疾病,这种病的特点是体内的凝血因子缺乏,造成受伤流血的凝血时间延长,乃至终身都会有轻微创伤后出血倾向,病情严重的患者即使没有明显外伤也有可能会发生“自发性”的出血。
血友病的发病往往会伴随着很多其他的症状,而关节内出血就是最常见的并发症。关节内反复出血后,导致关节退行性变,称为血友病性关节炎。如果未接受治疗,长期如此让病情自行发展,除了会有关节的病变,还会出现肌肉内、骨内等多处地方出血,长久以来会造成血友病性囊肿。
![]()
凝血因子缺乏导致血液从滑膜内的血管流入关节腔引起关节出血,关节急性出血初期表现为关节的僵硬、刺痛,逐步发展为关节肿胀、疼痛及皮温升高。
初期X线片观察不到关节腔内的出血改变而不能提供有力的诊断依据,而超声或磁共振可以观察到关节腔内出血,但血友病出血的严重程度与出血持续时间成正比,应以临床判断为主,不要等待影像学检查证据而耽误治疗。大量出血或反复出血以后,红细胞中的铁沉积在关节滑膜中,造成滑膜的增生以及滑膜内毛细血管的增生,进而导致滑膜炎。增生的滑膜内炎性细胞产生的酶和细胞因子会破坏关节软骨和骨,导致关节间隙变窄。各种原因引起的疼痛和关节病变导致患者关节活动受限、关节周围肌肉萎缩,关节挛缩、变形,最后发生发展为血友病性关节炎。
重型血友病患者首次关节出血一般发生在2岁左右,关节出血的发生率随着年龄增长而逐年提高。反复的关节出血易集中在1~2个关节,血友病常累及 膝、踝、肘及腕关节,以膝关节最常见,约占49.3%。
02 血友病性关节炎的分期
国际上将血友病性关节炎分为三期,大家可以详细看看:
Ⅰ期——出血期:
关节内突然急性出血伴有剧痛,关节出现明显的肿胀,皮肤温度升高,按压会有明显的疼痛,运动受限,关节呈保护性僵直状态。此时切记不能进行穿刺或切开,否则有致命危险,血肿吸收缓慢,需3~6周。
Ⅱ期——炎症期:
关节内反反复复的出血,关节肿胀更加明显、甚至走路受到限制,在运动的时候要会听到关节处的摩擦音。
Ⅲ期——退变期:
关节运动严重受限,肌肉萎缩,在膝关节多出现畸形,甚至严重致残。
![]()
03 如何治疗
1、药物疗法
补充凝血因子:
由于血友病性关节炎会引起自发性出血,所以需要及时给予凝血因子补充治疗。除了可以输鲜血之外,也可以使用干冻人体AHG浓缩剂、冷沉淀物等,可提高血液当中凝血因子浓度,达到止血目的。
肾上腺皮质激素:
为了减轻关节炎性反应,可应用肾上腺皮质激素制剂。也可在关节内注射一定剂量的透明质酸酶,同时可配合服用泼尼松或泼尼松龙等药品,以促进血肿吸收消除。
其它药品:
患者可长期服用能抑制纤维蛋白溶解的药物,比如氨基己酸、凝血酶等。另外,还可使用炔诺酮,关节疼痛严重时可酌情口服消炎止痛药。
2、物理疗法
在血友病性关节炎症状发作期间,可适当抬高患肢,采用冰袋冰敷及绷带、夹板压迫固定的方法缓解,也可适当按摩或紫外线照射治疗。这样可改善局部血液循环,减轻疼痛肿胀等不良反应。但只适合作为辅助疗法,作用十分有限。
3、手术疗法
①关节穿刺
关节穿刺的治疗方法适用于关节肿胀、疼痛,但是凝血因子替代疗法和镇痛剂都没有效果,或累及到皮肤或神经血管的患者。关节穿刺治疗需要在积极补充凝血因子的前提下,以及症状开始24小时内进行关节腔穿刺,尽量抽出积血,可使关节腔内减压,减轻疼痛及控制症状。但必须严格无菌操作,防止继发感染。如怀疑并发感染,则应及时穿刺引流,将引流液做细菌培养,以明确诊断,同时可缓解症状。
②关节镜手术
对于滑膜增厚的关节肿胀者可施行滑膜切除术,切除滑膜后能够有效控制症状并减少出血次数。
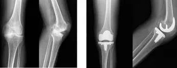
③人工关节置换术
对于关节强直、畸形及功能丧失的血友病性关节炎的患者,需要考虑人工关节置换手术,但必须在积极补充凝血因子的前提下,以确保手术安全。
![]()
04 日常生活中如何预防及保养
1、科学选择药物。
在预防血友病关节炎时,应该尽量少使用阿司匹林,肾上腺激素等药物,因为这些药物可以抑制血小板本身,如果凝血因子含量较少,在这些药物的促动之下凝血功能会变得更差。
2、不要做剧烈运动。
身患血友病以后一定要注意避免剧烈运动,以免出现体内出血的状况,减少受伤害的几率,从而起到预防的作用。
3、防止出血情况重复发生。
在日常生活中可以用白茅根,仙鹤草,生地花生,红枣煮水以后当做茶饮。注意饮食卫生和避免辛辣刺激性食物,垃圾食品应该尽量远离。
![]()
血友病除了出血会危及生命健康之外,还会导致关节出血破坏关节软骨,进而影响关节的功能,特别是下肢负重关节,严重的患者几乎没有关节功能,给生活带来严重的不便与痛苦,因此被称为“血友病性关节炎”,今天我们就来聊聊当“玻璃人”遇上关节炎该怎么办?

01 什么是血友病性关节炎
血友病是一种具有遗传性质的、凝血功能障碍的出血性疾病,这种病的特点是体内的凝血因子缺乏,造成受伤流血的凝血时间延长,乃至终身都会有轻微创伤后出血倾向,病情严重的患者即使没有明显外伤也有可能会发生“自发性”的出血。
血友病的发病往往会伴随着很多其他的症状,而关节内出血就是最常见的并发症。关节内反复出血后,导致关节退行性变,称为血友病性关节炎。如果未接受治疗,长期如此让病情自行发展,除了会有关节的病变,还会出现肌肉内、骨内等多处地方出血,长久以来会造成血友病性囊肿。

凝血因子缺乏导致血液从滑膜内的血管流入关节腔引起关节出血,关节急性出血初期表现为关节的僵硬、刺痛,逐步发展为关节肿胀、疼痛及皮温升高。
初期X线片观察不到关节腔内的出血改变而不能提供有力的诊断依据,而超声或磁共振可以观察到关节腔内出血,但血友病出血的严重程度与出血持续时间成正比,应以临床判断为主,不要等待影像学检查证据而耽误治疗。大量出血或反复出血以后,红细胞中的铁沉积在关节滑膜中,造成滑膜的增生以及滑膜内毛细血管的增生,进而导致滑膜炎。增生的滑膜内炎性细胞产生的酶和细胞因子会破坏关节软骨和骨,导致关节间隙变窄。各种原因引起的疼痛和关节病变导致患者关节活动受限、关节周围肌肉萎缩,关节挛缩、变形,最后发生发展为血友病性关节炎。
重型血友病患者首次关节出血一般发生在2岁左右,关节出血的发生率随着年龄增长而逐年提高。反复的关节出血易集中在1~2个关节,血友病常累及 膝、踝、肘及腕关节,以膝关节最常见,约占49.3%。
02 血友病性关节炎的分期
国际上将血友病性关节炎分为三期,大家可以详细看看:
Ⅰ期——出血期:
关节内突然急性出血伴有剧痛,关节出现明显的肿胀,皮肤温度升高,按压会有明显的疼痛,运动受限,关节呈保护性僵直状态。此时切记不能进行穿刺或切开,否则有致命危险,血肿吸收缓慢,需3~6周。
Ⅱ期——炎症期:
关节内反反复复的出血,关节肿胀更加明显、甚至走路受到限制,在运动的时候要会听到关节处的摩擦音。
Ⅲ期——退变期:
关节运动严重受限,肌肉萎缩,在膝关节多出现畸形,甚至严重致残。

03 如何治疗
1、药物疗法
补充凝血因子:
由于血友病性关节炎会引起自发性出血,所以需要及时给予凝血因子补充治疗。除了可以输鲜血之外,也可以使用干冻人体AHG浓缩剂、冷沉淀物等,可提高血液当中凝血因子浓度,达到止血目的。
肾上腺皮质激素:
为了减轻关节炎性反应,可应用肾上腺皮质激素制剂。也可在关节内注射一定剂量的透明质酸酶,同时可配合服用泼尼松或泼尼松龙等药品,以促进血肿吸收消除。
其它药品:
患者可长期服用能抑制纤维蛋白溶解的药物,比如氨基己酸、凝血酶等。另外,还可使用炔诺酮,关节疼痛严重时可酌情口服消炎止痛药。
2、物理疗法
在血友病性关节炎症状发作期间,可适当抬高患肢,采用冰袋冰敷及绷带、夹板压迫固定的方法缓解,也可适当按摩或紫外线照射治疗。这样可改善局部血液循环,减轻疼痛肿胀等不良反应。但只适合作为辅助疗法,作用十分有限。
3、手术疗法
①关节穿刺
关节穿刺的治疗方法适用于关节肿胀、疼痛,但是凝血因子替代疗法和镇痛剂都没有效果,或累及到皮肤或神经血管的患者。关节穿刺治疗需要在积极补充凝血因子的前提下,以及症状开始24小时内进行关节腔穿刺,尽量抽出积血,可使关节腔内减压,减轻疼痛及控制症状。但必须严格无菌操作,防止继发感染。如怀疑并发感染,则应及时穿刺引流,将引流液做细菌培养,以明确诊断,同时可缓解症状。
②关节镜手术
对于滑膜增厚的关节肿胀者可施行滑膜切除术,切除滑膜后能够有效控制症状并减少出血次数。
③人工关节置换术
对于关节强直、畸形及功能丧失的血友病性关节炎的患者,需要考虑人工关节置换手术,但必须在积极补充凝血因子的前提下,以确保手术安全。

04 日常生活中如何预防及保养
1、科学选择药物。
在预防血友病关节炎时,应该尽量少使用阿司匹林,肾上腺激素等药物,因为这些药物可以抑制血小板本身,如果凝血因子含量较少,在这些药物的促动之下凝血功能会变得更差。
2、不要做剧烈运动。
身患血友病以后一定要注意避免剧烈运动,以免出现体内出血的状况,减少受伤害的几率,从而起到预防的作用。
3、防止出血情况重复发生。
在日常生活中可以用白茅根,仙鹤草,生地花生,红枣煮水以后当做茶饮。注意饮食卫生和避免辛辣刺激性食物,垃圾食品应该尽量远离。
