你以为孩子是“生长痛”,谁知竟会是骨肿瘤
2025-11-04
24
在3-11岁孩子的生长期,腿疼是再正常不过的现象,所以很多家长就认为是“生长痛”造成的,有时孩子腿部红肿、关节肿胀,家长也以为是孩子撞到了腿,却不知道“骨肿瘤”已悄无声息找上了孩子。
多数人认为生长痛由于骨骼迅速生长,周围神经肌腱不能相应增长产生的牵拉痛,这是正常的身体生长状况,但是,如果孩子的疼痛是反复的,而且疼痛程度越来越严重,我们就要当心“骨肿瘤”,临床上有很多患者就是因为觉得是生长痛不予与理睬,最后延误最佳的治疗时机的。
据了解,在我国,青少年恶性骨肿瘤每年新发患者约1万人,很多患儿在发现时病情已经进入晚期。所以,我们今天就全面了解一下严重侵害青少年健康的骨肿瘤,以便家长们做到心中有数。
![]()
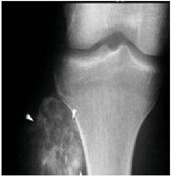
01 骨肿瘤的症状有哪些
1、会在骨的表面出现一个较硬的肿块,有的疼痛,有的无疼痛感觉
2、会出现骨和临近关节的疼痛和肿胀,经常在夜间加重,疼痛严重程度与活动无关,疼痛的性质多种多样,可为钝痛、刺痛、牵拉痛等等
3、身体会有发热、体重减轻、易疲劳、乏力、精神倦怠等表现
4、部分患者会有持续性背痛,背痛原因难以解释
5、肢体远端会有麻木感,多因肿瘤压迫神经引起
6、容易发生病理性骨折或变形,患者多出现无明显诱因的一处或多处骨折,往往也是因此而就诊的
7、自发性骨折也是常见的骨癌的早期症状
8、皮肤色泽有比较明显的改变,同时伴有静脉怒张
9、可能会伴有相应部位肌肉萎缩
另外,除青少年外,中老年人出现不明原因的肢痛、腰背痛,且有进行性加重的趋向时,要警惕有转移性骨肿瘤的可能。
![]()
02 如何区别生长痛与骨肿瘤
1、骨肿瘤的疼痛是持续性的,持续时间长,疼痛感比较剧烈,尤其到了晚上痛感加剧,一般止疼药根本止不住。而生长痛大多是短时间内的,疼痛感不强,只要日常及时进行钙质补充,痛感会迅速得到缓解。
2、骨肿瘤会伴随着身体发热、神情倦怠等相关症状,孩子情绪明显不佳,日常容易疲劳,体重出现减轻,而生长痛不会。
3、骨肿瘤的疼痛集中在固定点,比如说膝关节,容易出现红肿现象,但生长痛不会。总之,如果家里孩子喊腿疼的话,家长一定别大意,要观察孩子的具体症状,免得延误时机而不自知。实在不放心的话,最好去医院做下检查,由医生进行诊断。
![]()
03 为什么会发生骨肿瘤
致使骨肿瘤发生的因素还是比较多的,青少年的骨骼正处于生长的时期,而且生长十分快速,在此期间,骨细胞很容易产生突变,而骨细胞突变是导致骨肿瘤发生的一大原因。此外,平时因学习或娱乐等,长期接触电脑、手机以及其他电子产品,受到的辐射较多,对骨骼也会造成一定的影响,为日后骨肿瘤的发生埋下了隐患;或者因运动摔伤,发生骨折和骨关节受损等问题,没有处理好,也会有一定的几率演变成骨肿瘤。
![]()
04 青少年应如何防患
1、生活预防与调节:
(1)加强体育锻炼,增强体质,提高抗病能力,增强免疫功能,预防病毒感染。
(2) 减少和避免辐射,尤其是在青少年骨骼发育期。
(3) 避免创伤,尤其是青少年时期的长骨骨骺。
2、饮食预防与调理
改变不良习惯,少吃或不吃亚硝酸盐含量高的腌菜、咸鱼等;少吃苯并芘含量高的烘焙、熏制、油炸食品,少吃黄霉素、发霉、发酵较多的食品。
3、心理调理
保持性格开朗,心情愉快,不生气。
4、减少和避免辐射
X射线、镭、氢、锶、放射性同位素等电离辐射可在体内或体外辐射,这会诱发骨瘤,特别是在青少年骨骼发育期,应尽量减少和避免辐射。
5、避免外伤
外伤是骨瘤的病因之一,要避免外伤,尤其是青少年发育期,要避免长骨骺外伤。
孩子的健康问题,千万不可掉以轻心,一定要做到早发现早诊断早治疗。家长们要注意密切观察孩子的特殊变化,如果身体局部忽然出现“小包块”并出现骨痛情况,应该尽早到专科医生门诊就诊,通过专业的检查做出明确的判断。如确诊,就要积极配合医生的治疗。
多数人认为生长痛由于骨骼迅速生长,周围神经肌腱不能相应增长产生的牵拉痛,这是正常的身体生长状况,但是,如果孩子的疼痛是反复的,而且疼痛程度越来越严重,我们就要当心“骨肿瘤”,临床上有很多患者就是因为觉得是生长痛不予与理睬,最后延误最佳的治疗时机的。
据了解,在我国,青少年恶性骨肿瘤每年新发患者约1万人,很多患儿在发现时病情已经进入晚期。所以,我们今天就全面了解一下严重侵害青少年健康的骨肿瘤,以便家长们做到心中有数。

01 骨肿瘤的症状有哪些
1、会在骨的表面出现一个较硬的肿块,有的疼痛,有的无疼痛感觉
2、会出现骨和临近关节的疼痛和肿胀,经常在夜间加重,疼痛严重程度与活动无关,疼痛的性质多种多样,可为钝痛、刺痛、牵拉痛等等
3、身体会有发热、体重减轻、易疲劳、乏力、精神倦怠等表现
4、部分患者会有持续性背痛,背痛原因难以解释
5、肢体远端会有麻木感,多因肿瘤压迫神经引起
6、容易发生病理性骨折或变形,患者多出现无明显诱因的一处或多处骨折,往往也是因此而就诊的
7、自发性骨折也是常见的骨癌的早期症状
8、皮肤色泽有比较明显的改变,同时伴有静脉怒张
9、可能会伴有相应部位肌肉萎缩
另外,除青少年外,中老年人出现不明原因的肢痛、腰背痛,且有进行性加重的趋向时,要警惕有转移性骨肿瘤的可能。

02 如何区别生长痛与骨肿瘤
1、骨肿瘤的疼痛是持续性的,持续时间长,疼痛感比较剧烈,尤其到了晚上痛感加剧,一般止疼药根本止不住。而生长痛大多是短时间内的,疼痛感不强,只要日常及时进行钙质补充,痛感会迅速得到缓解。
2、骨肿瘤会伴随着身体发热、神情倦怠等相关症状,孩子情绪明显不佳,日常容易疲劳,体重出现减轻,而生长痛不会。
3、骨肿瘤的疼痛集中在固定点,比如说膝关节,容易出现红肿现象,但生长痛不会。总之,如果家里孩子喊腿疼的话,家长一定别大意,要观察孩子的具体症状,免得延误时机而不自知。实在不放心的话,最好去医院做下检查,由医生进行诊断。

03 为什么会发生骨肿瘤
致使骨肿瘤发生的因素还是比较多的,青少年的骨骼正处于生长的时期,而且生长十分快速,在此期间,骨细胞很容易产生突变,而骨细胞突变是导致骨肿瘤发生的一大原因。此外,平时因学习或娱乐等,长期接触电脑、手机以及其他电子产品,受到的辐射较多,对骨骼也会造成一定的影响,为日后骨肿瘤的发生埋下了隐患;或者因运动摔伤,发生骨折和骨关节受损等问题,没有处理好,也会有一定的几率演变成骨肿瘤。

04 青少年应如何防患
1、生活预防与调节:
(1)加强体育锻炼,增强体质,提高抗病能力,增强免疫功能,预防病毒感染。
(2) 减少和避免辐射,尤其是在青少年骨骼发育期。
(3) 避免创伤,尤其是青少年时期的长骨骨骺。
2、饮食预防与调理
改变不良习惯,少吃或不吃亚硝酸盐含量高的腌菜、咸鱼等;少吃苯并芘含量高的烘焙、熏制、油炸食品,少吃黄霉素、发霉、发酵较多的食品。
3、心理调理
保持性格开朗,心情愉快,不生气。
4、减少和避免辐射
X射线、镭、氢、锶、放射性同位素等电离辐射可在体内或体外辐射,这会诱发骨瘤,特别是在青少年骨骼发育期,应尽量减少和避免辐射。
5、避免外伤
外伤是骨瘤的病因之一,要避免外伤,尤其是青少年发育期,要避免长骨骺外伤。
孩子的健康问题,千万不可掉以轻心,一定要做到早发现早诊断早治疗。家长们要注意密切观察孩子的特殊变化,如果身体局部忽然出现“小包块”并出现骨痛情况,应该尽早到专科医生门诊就诊,通过专业的检查做出明确的判断。如确诊,就要积极配合医生的治疗。