前交叉韧带损伤MR分级
2025-11-04
8
前交叉韧带损伤,多种影像检查方法中,在MRI上显示清晰,并可显示其损伤程度,具有明显的优势。
前交叉韧带起自胫骨髁间隆突内侧面前部,向后向上向外走行,止于股内外侧髁内侧面。
MRI检查方法
仰卧位,足尖朝前,下肢外旋 10 ~ 15°,使前交叉韧带位于矢状面上,或者使扫描层面倾斜(矢状斜位)使前交叉韧带位于图像矢状面上。
矢状面扫描可清楚地显示前交叉韧带的全貌,而冠状、横断面扫描可提供补充信息。
正常前交叉韧带的MR表现:
为前缘界限清晰的直线走向纤维束信号。
当纤维束致密时,MR 图像为界限清晰带状低信号。
当纤维束呈扇形走向,MR 图像可以表现为中等信号。
前交叉韧带中段的直径较两端细。
![]()
交交叉韧带损伤的MR表现
部分撕裂:
韧带内的信号增高但仍然见到有连续性是完整的纤维束
前交叉韧带变细
在某个序列中见前交叉韧带撕裂的间接征象而在另一个序列中见完整的前交叉韧带。
完全撕裂:
直接征象
前交叉韧带信号增高
前交叉韧带走向异常(扭曲),呈波浪状改变
前交叉韧带连续性中断
出现假瘤征、空虚征
间接征象
膝关节外侧部骨挫伤或骨软骨骨折,即外侧胫骨平台和股骨外侧髁的挫伤或骨、软骨骨折。
前交叉韧带角度异常,与胫骨平台的夹角小于45度,和blumenseat线之间的夹角大于15度(blumenseat线:股骨后侧面和前交叉韧带胫骨附着处之间的连线)
胫骨前移(大于7mm)。
外侧半月板后移。
后交叉韧带的角度小于107度。
![]()
前交叉韧带损伤的MRI分级
美国医学会,交交叉韧带损伤的分级标准,在 MR 上前交叉韧带损伤可分为 3 级损伤:
1 级:前交叉韧带纤维束拉伤或隐匿损伤
仅有韧带内结构改变。在 T1 和 T2 加权序列上,韧带信号增高,但韧带的纤维束完整,韧带形状、厚度、长度无改变。
2 级:前交叉韧带部分损伤
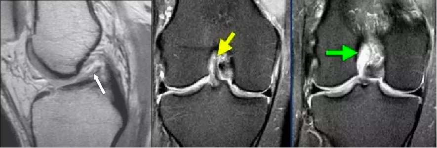
在 T1 和 T2 加权序列上都有高信号改变,且有韧带增厚(肿胀或出血所致),韧带外形和纤维不规则或部分不连续。
![]()
3 级:前交叉韧带完全损伤
在 MR 上表现为韧带信号明显增强,不连续,韧带可能有回缩,韧带走向异常或有假团块等。
前交叉韧带损伤MR分级1级、2级者,多可自愈,所以大多数可保守治疗。而3级损伤的患者,建议手术治疗,但应注意到MR分级的局限性,还应结合膝关节稳定性和个人要求,来决定是否手术。
前交叉韧带起自胫骨髁间隆突内侧面前部,向后向上向外走行,止于股内外侧髁内侧面。
MRI检查方法
仰卧位,足尖朝前,下肢外旋 10 ~ 15°,使前交叉韧带位于矢状面上,或者使扫描层面倾斜(矢状斜位)使前交叉韧带位于图像矢状面上。
矢状面扫描可清楚地显示前交叉韧带的全貌,而冠状、横断面扫描可提供补充信息。
正常前交叉韧带的MR表现:
为前缘界限清晰的直线走向纤维束信号。
当纤维束致密时,MR 图像为界限清晰带状低信号。
当纤维束呈扇形走向,MR 图像可以表现为中等信号。
前交叉韧带中段的直径较两端细。

交交叉韧带损伤的MR表现
部分撕裂:
韧带内的信号增高但仍然见到有连续性是完整的纤维束
前交叉韧带变细
在某个序列中见前交叉韧带撕裂的间接征象而在另一个序列中见完整的前交叉韧带。
完全撕裂:
直接征象
前交叉韧带信号增高
前交叉韧带走向异常(扭曲),呈波浪状改变
前交叉韧带连续性中断
出现假瘤征、空虚征
间接征象
膝关节外侧部骨挫伤或骨软骨骨折,即外侧胫骨平台和股骨外侧髁的挫伤或骨、软骨骨折。
前交叉韧带角度异常,与胫骨平台的夹角小于45度,和blumenseat线之间的夹角大于15度(blumenseat线:股骨后侧面和前交叉韧带胫骨附着处之间的连线)
胫骨前移(大于7mm)。
外侧半月板后移。
后交叉韧带的角度小于107度。

前交叉韧带损伤的MRI分级
美国医学会,交交叉韧带损伤的分级标准,在 MR 上前交叉韧带损伤可分为 3 级损伤:
1 级:前交叉韧带纤维束拉伤或隐匿损伤
仅有韧带内结构改变。在 T1 和 T2 加权序列上,韧带信号增高,但韧带的纤维束完整,韧带形状、厚度、长度无改变。
2 级:前交叉韧带部分损伤
在 T1 和 T2 加权序列上都有高信号改变,且有韧带增厚(肿胀或出血所致),韧带外形和纤维不规则或部分不连续。

3 级:前交叉韧带完全损伤
在 MR 上表现为韧带信号明显增强,不连续,韧带可能有回缩,韧带走向异常或有假团块等。
前交叉韧带损伤MR分级1级、2级者,多可自愈,所以大多数可保守治疗。而3级损伤的患者,建议手术治疗,但应注意到MR分级的局限性,还应结合膝关节稳定性和个人要求,来决定是否手术。