颈椎十类骨外伤X片,看一遍秒掌握
2025-10-26
22
颈椎外伤的3个3原则
1、 正常寰齿间距<3mm;
2、 正常C3椎前软组织厚度<3mm;
3、 椎体呈楔形,前后缘差距>3mm,提示骨折。
一、 寰枢关节脱位
常见于过伸位损伤,如向前滑倒;儿童多见于成人;通常有生命危险。

二、寰椎后弓骨折
是C1常见的骨折,常由于过伸位损伤造成,不伴有神经损伤,可伴有先天畸形。

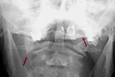
三、Jefferson骨折
为C1爆裂性骨折,多由压缩性外力造成,表现为C1双侧前后弓断裂,张口位显示:寰椎双侧分离移位,不伴有神经损伤。

四、Hangman’s骨折
是C2最常见的骨折,也是最常见的颈椎骨折,多由过伸及压缩外力造成,骨折线经C2椎弓根,C2向前滑脱,不伴有神经损伤。


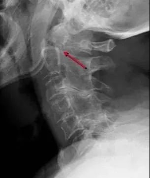
五、齿突骨折
多由过伸性损伤造成,常伴有C1向前滑脱,属于稳定性骨折。

另一患者

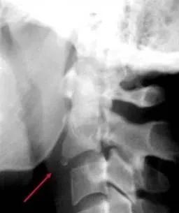
六、泪滴样骨折
屈曲压缩型骨折,可见泪滴样骨碎片向椎体前方分离移位,椎体变扁并向后方移位,椎小关节间隙及棘突间隙增宽,椎间隙变窄,70%合并神经损伤。

七、单纯型压缩性骨折
椎体变扁呈楔形,前缘塌陷>3mm,常累及椎体上终板。

八、铲土者(Clay Shoveler)骨折
指C6或C7棘突撕脱骨折,由于躯干相对于颈部暴力旋转导致,不伴有神经功能损伤。

九、韧带损伤
多由屈曲性损伤导致,椎间隙前窄后宽,棘突间距增宽,椎小关节间隙增宽,50%伴有椎体滑脱;85%伴有神经功能损伤。

十、单侧小关节交锁
通常由屈曲性或过伸性旋转暴力导致,30%伴有神经性损伤,侧位片表现为椎体向倾斜移位,正位片可见棘突投影不在一条轴线上。
